Location:Home >> Detail
TOTAL VIEWS
Med One. 2016; 1(3): 3; https://doi.org/10.20900/mo.20160012
1 Department of Respiratory Medicine, Xiangya Hospital, Central South University, Changsha, Hunan 410008, P.R. China
*Corresponding Author: Huaping Yang.
A single case of a male stage-IV lung cancer patient is reported, there were exon 19 deletion mutations in the epidermal growth factor receptor (EGFR). Intra-, and extrapulmonary, lesions occurred a month after gefitinib and erlotinib applications. Patient was then switched to the first-line chemotherapy program. Both types of lesions significantly improved four weeks after a combined therapy of pemetrexed disodium + carboplatin+ bevacizumab (7.5mg/Kg d1), two weeks after continuous therapy with pemetrexed disodium + bevacizumab (7.5mg/ Kg d1). Short-term efficacy was assessed as PR, without significant adverse effects, reflecting program efficacy and good tolerance.
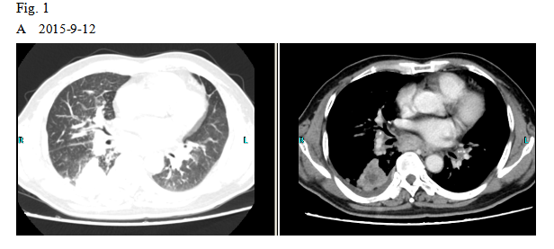
A 66-year old male patient with a smoking history was received by the Outpatient Department on September 14, 2015 due to “coughing for more than one month”. Main symptoms included a dry cough, a small amount of white phlegm, but freedom from fever, chest pains, bloody sputum, and any other discomfort. Stage IV-lung cancer is associated with anorexia and a loss of nearly 10 pounds. The patient had a poor constitution in the past, with a history of “acute hepatitis”, “type-2 diabetes” and “obsolete pulmonary tuberculosis”. The patient was accepted in the Department of Respiratory Medicine on September 15. The results of a lung CT scan indicated a “space occupied for posterior basal segment of right inferior lung and enlarged for mediastinal lymph nodes”. The patient was approved for a CT- guided transthoracic needle biopsy, immunohistochemistry, EGFR gene mutation detection, and systemic metastases assessment. He was diagnosed as “primary lung cancer, right lung adenocarcinoma, T4N3M1B (lung, pleura and brain), and stage-IV EGFR Exon 19 deletion mutation (Fig. 1A and Fig. 2A)”.
The patient checked for further treatment on November 23, 2015. A pre-chemotherapy assessment was made and the results showed multiple bone metastases and multiple enlarged lymph nodes in the left shoulder blade, the fourth lumbar, the right iliac bone and other locations. Performance status (PS) was only one point. Pemetrexed Disodium (500 mg/m2 d1) + Carboplatin (AUC 5 d1) + Bevacizumab (7.5 mg/Kg d1) was administered beginning November 26, 2015 for the chemotherapy treatment and supportive therapy was provided, such as, dehydration, reduction of intracranial pressure, promotion of bone repair, pain relief, and waist protection. After discharge, the coughing basically disappeared and the dizziness, backaches, and hemiparesthesia of the left side were significantly improved. Patient emotional state and sleep quality was significantly improved. It was basically normal after a routine blood examination. A second chemotherapy treatment was successfully completed on December 18 (the program is idem). The patient returned to the hospital on January 6, 2016 and was proposed for a third chemotherapy. The pre-chemotherapy assessment showed that the measurable, targeted right lung lesion had decreased (3.2 mm, with a rate of decrease 44.8 %) (Fig. 1D). Lymphangitis carcinomatosa was significantly decreased and right frontal nodulus lesions were reduced significantly (Fig. 2C). No new lesions were found. Efficacy was assessed as partial relief (PR). A third and fourth chemotherapies were completed on January 9 and January 30, 2016. Efficacy was re-assessed as PR (Fig. 1E) with lung CT review as an outpatient on February 11. Since then, the patient had been subjected to a combined administration program of pemetrexed disodium (500 mg/m2 d1) + bevacizumab (7.5 mg/Kg d1) for continued chemotherapy. A lung CT and a cranial MRI were peformed on April 16. The results showed that the control of lung lesions and intracranial lesions were basically the same as before (Fig.1F and Fig. 2D). The patient had no cough, backaches, or hemiparesthesia and the quality life significantly improved. PS was decreased to zero.
Lung biopsy specimens indicated that there was an EGFR exon 19 deletion mutation. According to the Guideline of National Comprehensive Cancer Network (NCCN) in 2015 [1] reommendations, a therapy program using EGFR tyrosinekinase inhibitors (TKIs) -Gefitinib administration was begun. However, intrapulmonary and extrapulmonary lesions occurred after gefitinib and erlotinib were administered indicating that a primary resistance to EGFR Tki.
Assuming treatment failure, a combined program of platinum-based doublets + bevacizumab was implemented, according to recommendations contained in the NSCLC Guideline of the 2015 NCCN [1], to ensure the improvement of symptoms and patient quality of life over the short term. This included contracting and control of primary lesions of the lung, spinal, and intracranial lesions.
We were aware that a new generation of anticancer drugs for molecular targets might become research and treatment highlights for advanced lung cancer and, wished to ensure that our current treatment program developed in an “individualized” direction. Factors including the genetic locus of EGFR, and chinodem microtubule-associated protein-like 4/ anaplastic lymphoma kinase (EML4-ALK) fused genes, need the presence of a specific genetic locus mutation to ensure the patient will benefit from the corresponding targeted-therapy medications. Mutation frequency should be below 10 % and the EGFR can be up to 50 % in the Asian race.
Another molecular-targeted drug, vascular molecular-targeted drug, such as bevacizumab can inhibit the combination of VEGF with its receptors to degenerate tumor angiogenesis and normalize surviving blood vessels and inhibit blood vessel reproduction so as to continue to inhibit tumor growth and metastasis [2, 4]. The patient’s primary resistance against EGFR Tki in this case argued for a bevacizumab-based chemotherapy program, as recommended in the guidelines, as it is more suitable for an individualized patient treatment. It appears he has, indeed, benefited from this treatment program.
A total of 878 patients with relapsed, or stage III-IV non-squamous NSCLC, was included into the stage-III clinical trials (ECOG4599 Trial [5]) conducted by Sandler. They were randomly classified into two groups and administered paclitaxel + carboplatin, and paclitaxel + carboplatin +bevacizumab, respectively. The results showed that an overall survival (OS), median PFS and ORR of the bevacizumab-containing group superior to the healthy controls (p < 0.05). The OS of the patients with advanced NSCLC was prolonged for over a year for the first time in history. Therefore, the FDA approved the combined program of paclitaxel + carboplatin +bevacizumab for treatment of advanced non-squamous NSCLC. Another stage-III clinical trial (AVAIL Trial [6]) confirmed the results of ECOG4599 Trial [5] from the aspects of its efficacy and PFS. A chemotherapy program combining bevacizumab with platinum-based doublets was approved by the European Medicines Evaluation Agency (EMEA) in 2007 for the first-line treatment of metastatic NSCLC. Many studies (SAiL [7], ARIES) showed that bevacizumab enabled patient OS with advanced NSCLC to be prolonged for over a year. Among the 314 Asian patients in the study of SAiL, TTP was 8.3 months and median OS was 18.9 months. Both of which are all significantly higher than the general population.
The current (2016) NSCLC clinical practice guideline for NCCN clearly states that a first-line chemotherapy program for advanced non-squamous cancer NSCLC includes doublet chemotherapy as well as bevacizumab + chemotherapy, and bevacizumb should be administered during the progressive disease PD period. Chemotherapy programs are composed of several combinations, including, paclitaxel + carboplatin, paclitaxel + cisplatin, vinorelbine + cisplatin, gemcitabine + cisplatin, pemetrexed disodium + cisplatin, and docetaxel + cisplatin. In the United States, common programs include pemetrexed disodium + cisplatin (carboplatin), and paclitaxel + carboplatin combined with, or without, bevacizumb. Forty-nine patients with non-squamous NSCLC were included into a stage-II clinical trial conducted by Patel, et al. [8]. All patients accepted the first-line chemotherapy of pemetrexed disodium + carboplatin combined with bevacizumb. In a later period, they continuously accepted a chemotherapy of pemetrexed disodium + bevacizumb. The results showed that the median PFS, OS and ORR reached 7.8 months, 14.1 months and 55 %, respectively. No severe adverse events were observed. Similarly, in a similar stage-II clinical trial conducted by Japanese Yokoi T [9], the same treatment program was implemented with 26 patients having stage IIIB-IV NSCLC. The trial results showed that median PFS, and OS, reached 8.6 months and 18.6 months, respectively, indicating that this treatment program may provide more benefits to Asians.
Similar long-term efficacy was obtained in clinical observations of “first-line treatments of bevacizumb combined with pemetrexed disodium + oxaliplatin for advanced NSCLC” carried out by OLIVIER et al. [10]. At the same time, a trial made by POINTBREAK [11] showed a program of pemetrexed disodium + carboplatin + bevacizumb to be a reasonable option. It was believed that a paclitaxel -based program had more toxicity than a pemetrexed disodium based program. This is mainly reflected in neurotoxicity, but there was no significant differences of OS between the two programs. Therefore, a more appropriate option according to the specific situation of the patients can be made.
In this case, four cycles of combined chemotherapy program of pemetrexed disodium + carboplatin+bevacizumb (7.5 mg/Kg d1) were performed on the patient and chemotherapy was continued with pemetrexed disodium + bevacizumb (7.5 mg/Kg d1). In a short-term efficacy assessment, benefits to the patients were observed. However, any long-term efficacy of a chemotherapy program combined with bevacizumb relies mainly on a maintenance administration of this drug and it is necessary to carry out close follow-up observations.
In terms of side effects, no common myelosuppression, liver or kidney dysfunction, gastrointestinal reactions, hypertension, proteinuria, thrombosis, hemorrhages or other reactions [12] were observed during the treatment process of this case. This indicates a good tolerance for this combined program in the treatment of advanced NSCLC. However, it may also be that the related side effects of bevacizumab are dose-dependent [13].
In summary, the combined chemotherapy program of pemetrexed disodium + carboplatin + bevacizumb (7.5 mg/Kg d1) was implemented for four cycles to a patient with advanced lung cancer who with an EGFR exon 19 deletion mutation and primary resistance against the EGFR Tki. It was maintained with pemetrexed disodium + bevacizumb (7.5 mg/Kg d1) for two cycles. The short-term efficacy was assessed as PR without obvious adverse effects. It reflects the efficacy and good tolerance of this program, which provides more clinical evidence which supports clinical application.
1.
2.
1.
2.
3.
4.
5.
6.
7.
8.
9.
10.
11.
12.
13.
Deng P, Yang H, Zhao B, Li Y, Hu C. Case Report of First-line Chemotherapy of an Advanced Lung Cancer Patient Using Bevacizumab Combined With Pemetrexed Disodium and Carboplatin. Med One. 2016; 1(3): 3; https://doi.org/10.20900/mo.20160012

Copyright © 2020 Hapres Co., Ltd. Privacy Policy | Terms and Conditions